Breaking News
- Powerful People
POWER, PRIVILEGE, AND OUR SILENCE
0 - Retroscope
AMITABH BACHCHAN: HINDI CINEMA’S DARK EDGE
0 - Trending
ROMANCE ZINDABAD OR DRAMABAZI KI JAY
0 - Powerful People
PARALLEL LIVES BETWEEN THEATRE & CORPORATE WORLDS
0 - Thought Factory
OH CALCUTTA: MEMORIES OF A VANISHING CITY
0 - Festivals
SELF-DISCOVERY SERIES UNITES GENERATIONS WITH CINEMA
0 - Bollywood
VADH 2 EXPLORES JUSTICE AND AGING
0 - Trending
OSCARS RETURN INDIA ENTRY EMPTY-HANDED AGAIN HOME
0 - Festivals
BHARAT RANG MAHOTSAV 2026 OPENS MUMBAI STAGE
0 - Sustainable Development
TWO-CHILD NORM ENDANGERS CHILDREN AND DEMOCRACY
0
news
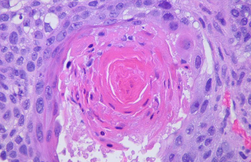
Google's Algorithms Are Already Outperforming Pathologists
One of the more difficult things a doctor can do is diagnose cancer. That's not just because of the life-changing effects such a finding can have, but because distinguishing a...
Read MoreFinance Sector Could Face Climate-Risk Testing, Says Australian Watchdog
Australia’s financial institutions could be required to test climate-risk scenarios as international regulators continue to warn of the economic dangers posed by climate...
Read MoreFilm Festival Puts Spotlight On Family
A two-day film festival organised by the Hassan Film Society and Samanvaya Manujamath group in Hassan witnessed discussion on Indian cinemas and the way they handled the issue...
Read MoreNew Study On The Representation Of Women In Media Sadly Confirms What We Already Knew
The ongoing conversation around the issue of representation of women in media has been productive in terms of bringing attention to the issue, but it's not necessarily changin...
Read MoreInternational Women’s Day Special: Priyanka Chopra, Vidya Balan, Kangana Ranaut–Who Is The Most Influential Woman In B-town?
These ladies sparkle on the silver-screen like only they can. They have got the oomph as indeed the talent oozing through their incredible personalities. Wherever they go, the...
Read MoreInternational Women's Day 2017: Secrets Revealed In Germaine Greer's Archives
A damask napkin with a sketch of a woman's back, waist and "big arse" – souvenir from a tryst, most likely, with former lover, Italian film director Federico Fellini. Ea...
Read MoreIt's 2017! Why Do Women Still Need To Fight For Their Rights
It’s 2017! And just last week I was reading about how the Indian censor board of film certification has refused to certify a women empowerment film “Lipstick under...
Read More“Informed Women are Empowering the Less Advantaged Ones for a Better World” – Vinta Nanda
Men and women are said to be created equally but that may still be one for the books. Over a century of collectively fighting for a place in society, true feminist continue to...
Read MoreNeena Gupta And Masaba Celebrate Women’s Day Week At Atmtantan Wellness Resort
March 2017: The luxurious Atmantan Wellness Resort situated in the lush Sahyadri Mountains has become an increasingly popular wellness getaway amongst celebrities, their most ...
Read MoreBollywood & Sons, You Think You Can Bully Kangana Ranaut Out Of The Film Industry?
My name is Vinta Nanda and I have been around in the Indian entertainment industry since the mid-1980s. I started off as an assistant director under my idol Nadira Babbar in h...
Read MorePOWER, PRIVILEGE, AND OUR SILENCE
A searing reflection on the Epstein revelations and what they expose about unchecked pow...
February 14 2026AMITABH BACHCHAN: HINDI CINEMA’S DARK EDGE
The Greatest villain that Hindi films could not have…though one is not complainin...
February 13 2026ROMANCE ZINDABAD OR DRAMABAZI KI JAY
Monojit Lahiri checks out the real drama behind this momentous day and checks out all th...
February 12 2026